在美學診間中,經常有患者問我:「我想要笑起來好看,選最白的適合嗎?」「我牙齒很黃,做陶瓷貼片後會不會不自然?」「顏色要跟其他牙齒顏色一樣嗎?」
這些問題的背後,反映出一個關鍵點:貼片的美,不只是白,而是自然、協調,襯托出個人的特質。
這正是陶瓷貼片治療中,「色階選擇」的關鍵。市面上的貼片材料再好,少了醫師的判斷與審美,就像穿上一套不合比例的高級西裝 —— 再貴也顯得彆扭。
作為牙科美學醫師,我把每一次選色,都當作為患者量身訂製一張「個人化笑容名片」。
這篇文章,我想從醫師的角度,分享關於陶瓷貼片顏色的思考與判斷過程。
陶瓷貼片有哪些色階?
貼片顏色的選擇並不只是「白一點」或「黃一點」這麼簡單。臨床上我們常依照 Vita Shade Guide 的色階系統來判斷,包括:
- A系(A1-A4):偏黃棕色,是亞洲人最常見的自然齒色
- B系(B1-B4):偏明亮的黃調,常用於自然亮白需求
- C系、D系:偏灰或棕灰,常用於深層色素牙或修復假牙時使用
- BL系(Bleach 1~4):為了追求美白需求而設計的色階,亮度遠高於自然色階
但真正讓貼片「不假不突兀」,並非單看色階代碼,而是整體光感、透明度與與鄰牙之間的協調感 —— 這些都仰賴臨床經驗與醫師眼光。
陶瓷貼片顏色怎麼挑?這些細節,醫師會幫你把關
在為患者評估貼片顏色時,我不會直接問:「你想要多白?」
因為我知道,對大多數人來說,「白」的想像往往來自明星照片、修圖濾鏡,而不是現實生活中適合自己的樣子。
我會從三個角度出發,進行個人化貼片選色評估:
1. 牙齒主體色 & 鄰牙協調度
- 若是單顆貼片(如門牙斷裂重建),需與鄰牙一致,不能讓那一顆看起來「特別新」。
- 若是局部或整排貼片,則可逐步提亮,但仍需與鄰牙或下排牙齒保持「視覺平衡」,但有患者計劃過一陣子再進行下排的美白療程,這種就會出現短暫的上下排色差的過渡期。
2. 切端的透明層與亮度過渡
- 健康自然的牙齒,在切端都有透明層與微透光性。
- 我會評估患者齒質與唇形,在貼片設計中要求技師保留透明層,讓貼片不會「死白」。
3. 整體是否統一?或做「漸層」更自然?
- 整排貼片時,笑容區(門牙到小臼齒)可以使用「漸層明亮」的設計。
- 讓最中間的門牙為視覺焦點,往兩側自然過渡,比全口一樣白更自然、立體。
這些判斷並沒有固定答案,而是依每位患者的臉型、膚色、氣質、職業場合去做微調。這也是為什麼貼片不能只交給設備或色卡,而必須由醫師親自參與決策。
不同情境下的貼片選色案例分享
我想分享幾位曾經讓我印象深刻的患者故事,讓你了解色階選擇背後,其實是一場美學與信任的對話。
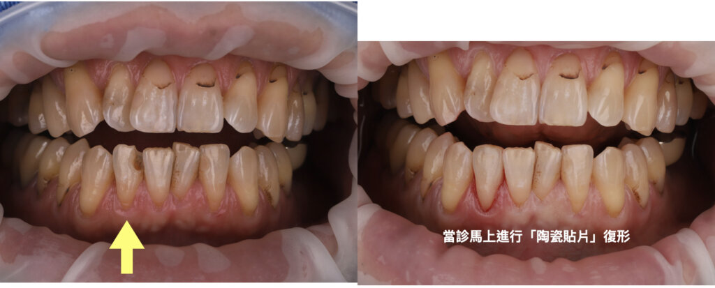
📌 案例一|下門牙斷裂,只做一顆貼片
一位國小老師因門牙曾在他院多次填補,補過的地方反覆掉落,這次甚至連帶出現酸痛感與明顯咬合不適。她說:「這顆牙已經補了三次,每次掉的洞都更大,真的好煩……」
在評估後,我發現她的原牙結構已不適合再進行樹脂補綴,便建議以陶瓷貼片作為更穩定且美觀的長期修復方式。
我依據她對側門牙的主色階(A2),設計搭配自然切端透明感的貼片,讓修復後的門牙與原生牙完美融合。
當她在鏡子前微笑時笑著說:「不但沒有色差,看起來比我原本的牙齒還自然、還舒服!」


我的思維:貼片不只是補牙,更是一種高質感、可長期使用的結構重建選擇。
📌 案例二|整排牙齒色階不均,想改善笑容整體性
這位女軍人因長期齒色不均,加上正中門牙之間有黑洞、整排牙齒略微歪斜,讓她笑起來時嘴唇也不自覺地偏向一側。雖然她曾嘗試漂白,但效果不理想,反而讓牙齒色差更明顯。
在評估後,因為她一些牙齒有抽過神經,我建議為她設計上排8顆貼片合併全瓷冠,不僅是為了改善色階,也同時修飾牙列角度與門牙比例。
我選擇以門牙BL4為主色階,向兩側漸層過渡至B1,搭配切端自然透明感,並微調齒形排列,使笑容在光線下更對稱、整齊。
她看著鏡中的自己,淡淡一笑說:「現在終於是我心裡想要的樣子了,不是那種死白,而是乾淨、自然,笑起來也順了,而且做完治療後,門牙也讓我的嘴唇變的更性感了。」


我的思維:美白不是貼得越白越好,而是有節奏地提亮,而且要把整個臉型、五官考量進來作評估。
📌 案例三|舊假牙黑邊,笑容有陰影感
這位患者是一位美感敏銳的設計師,假牙已重做過兩次,而且因金屬底部外露,牙齦邊緣出現了明顯黑邊。雖然想改善,但她最擔心的,除了金屬外露導致的黑邊,假牙本身角度也不理想,笑起來牙齒歪斜、與嘴唇弧線不協調,使整體笑容看起來不對稱、不自然。
因患者想要明亮潔白的笑容,我與技師討論後,決定採用「遮黑技術」結合自然分層的BL4色階,讓笑容亮起來但不過度搶眼。同時重建牙齦的弧線,讓假牙與原生軟組織過渡更柔和,兼顧美觀與穩定。
患者在鏡前露出微笑時說:「這次的顏色我很喜歡,而且跟牙齦融合得很漂亮,不僅遮掉了黑邊,解決了牙根裸露的問題,整體也更協調自然,本來笑起來左邊垂下來的牙齒也變正了,謝謝你們幫我找回理想的笑容!」

我的思維:因為原始的笑容,明顯的左邊牙齒較為下垂,而且牙根嚴重裸露,所以除了色階選擇之外,也考量「遮色」、「軟硬組織協調」的重建邏輯。
📌 案例四|舞台上的笑容,也可以兼具亮白與自然
樂天啦啦隊的阿布舞,不只是會跳舞,私下還是一位歌手。過去她習慣以冷光美白來維持齒色,但始終困擾於牙縫黑三角與填補樹脂無法隨著美白變白,導致整體齒色愈來愈不均,產生明顯色差。
這次她決定正視問題,前來美學門診諮詢。除了牙縫中的樹脂偏黑,我也觀察到她的門牙中線偏斜、整體齒列略向一側傾斜,這些都是影響笑容對稱與自然感的重要因素。
一開始她希望能做 BL1 超白貼片,但考量到她膚色偏健康小麥膚色,若選擇過白色階,反而容易讓笑容過於突兀、不自然。經過討論與評估後,我建議改為 BL4,並加強切端透明感與唇側反光效果,打造一種自然亮白但不死白的笑容氛圍。
在貼片設計上,我不僅調整了顏色與型態,同時也微調門牙比例與排列方向,自然改善了她原有的中線偏斜與笑容歪斜問題。
完成後,她開心地說:「朋友都說我整個人變亮了,但完全看不出是哪裡做過,超自然!」


✅ 我的思維:貼片不是套版標準答案,而是量身設計,放大每個人最適合被看見的優勢。
陶瓷貼片顏色的選擇,專業醫師才知道的眉角
貼片治療從來不是單靠材料等級或色卡編號可以完成的,它是一門結合醫學、審美、經驗、藝術與溝通的技術。 真正讓你笑容升級的,不是選了什麼色卡,而是選擇了一位懂你、懂比例、懂自然的醫師。
如果你正在考慮陶瓷貼片,卻不知道該怎麼選色、不確定自己適不適合,我誠摯邀請你來診間聊聊。
📞 預約諮詢 ▶ 牙科美學專家 任杏嫦 醫師|打造屬於你的專屬貼片笑容

